TMS mechanism of action: Unraveling Mystery 2025
Understanding the Science Behind Brain Stimulation
The TMS mechanism of action represents a significant breakthrough in modern neuroscience. At its core, transcranial magnetic stimulation (TMS) uses electromagnetic induction to generate targeted electrical currents in specific brain regions. This process modulates neuronal activity and promotes lasting neuroplastic changes, which is the brain’s ability to rewire itself.
Key mechanisms of TMS include:
- Electromagnetic induction: A magnetic coil generates time-varying magnetic fields that painlessly penetrate the skull.
- Neuronal depolarization: The induced electrical currents activate neurons by helping them reach their firing threshold.
- Frequency-dependent effects: High-frequency stimulation (>5Hz) excites brain circuits, while low-frequency (<1Hz) inhibits them.
- Synaptic plasticity: Repeated stimulation triggers long-term potentiation (LTP) or depression (LTD), strengthening or weakening neural connections.
- Network modulation: TMS influences entire brain networks, not just the directly stimulated area.
- Neurochemical changes: The treatment can increase beneficial factors like BDNF and modulate key neurotransmitters.
For patients with treatment-resistant depression and other neuropsychiatric conditions, understanding how TMS works at a cellular and network level helps explain why this FDA-approved therapy can provide lasting relief when other treatments have not been successful.

The Physics of Brain Stimulation: From Magnetism to Electricity
TMS represents a fascinating interplay between physics and biology. Electricity in the TMS device is converted into a magnetic field, which then turns back into a targeted electrical current within the brain. This process, central to the TMS mechanism of action, allows for precise, non-invasive neuromodulation.
Inducing Electrical Currents in the Brain
The process is rooted in Faraday’s Law of Induction, a principle finded nearly two centuries ago. The TMS device uses a capacitor to release a powerful, controlled burst of electricity into a treatment coil. This creates a rapidly changing time-varying magnetic field.
This magnetic field passes effortlessly through the scalp and skull, which are resistant to electrical currents but transparent to magnetism. Once the magnetic field reaches the brain tissue-an excellent electrical conductor-it induces an electric field, creating tiny electrical currents (eddy currents). These currents cause neuronal membrane depolarization. When this electrical change is strong enough, it pushes the neuron to its action potential threshold, causing it to “fire” and send a signal. This is how a magnetic pulse outside the head influences the electrical activity inside the brain.
Factors Influencing the Stimulation Field
The effectiveness of TMS depends on several key factors that determine how magnetic fields translate into therapeutic brain stimulation.
-
Coil Design: The most common figure-8 coil creates a highly focused magnetic field at the intersection of its two loops, allowing for precise targeting of specific brain areas.
-
Stimulation Intensity: Treatment is personalized using the Motor Threshold (MT). This is the minimum power needed to cause a small muscle twitch when stimulating the motor cortex. The therapeutic dose is then calculated as a percentage of this individual’s MT, typically between 80% and 120%.
-
Coil Orientation and Position: Minor changes in the coil’s angle and placement can significantly alter which neurons are activated. Proper orientation is crucial for effectively stimulating neurons that run parallel to the brain’s surface.
-
Individual Anatomy: Every brain is unique in its shape, size, and skull thickness. Advanced neuronavigation systems are often used to map the brain and account for these individual differences, ensuring optimal coil placement.
-
Focality vs. Depth Trade-off: There is an inherent trade-off in TMS technology. Highly focused fields tend to be shallower, while coils designed to reach deeper structures stimulate a broader area. Scientific research on TMS coil designs continues to explore innovative ways to optimize this balance for better precision and depth.
The Core TMS Mechanism of Action: Modulating Neurons and Networks

Now that we understand how TMS generates electrical currents, let’s explore how these pulses create measurable changes in brain activity and connectivity. This is where the TMS mechanism of action translates electromagnetic energy into therapeutic results.
Measuring the Immediate Effects on Cortical Excitability
We can observe the brain’s real-time response to TMS through Motor Evoked Potentials (MEPs). A TMS pulse over the primary motor cortex sends a signal down the corticospinal tract, causing a small muscle twitch that is measured with EMG electrodes. The size of the MEP reveals the excitability of the motor cortex.
This measurement is used to determine the Motor Threshold (MT), our personalized dosage guide. The MT reflects how easily the motor cortex can be activated. To probe the brain’s balance of excitation and inhibition, clinicians use paired-pulse TMS. This technique delivers two pulses in quick succession:
- Short-interval cortical inhibition (SICI) uses a 1-5 millisecond gap to measure the brain’s GABA-mediated inhibitory circuits (the “brakes”).
- Intracortical facilitation (ICF) uses a 10-20 millisecond gap to assess glutamate-driven excitatory circuits (the “accelerator”).
These measurements provide a dynamic picture of GABAergic and glutamatergic function, which is often imbalanced in conditions like depression.
How Different TMS Protocols Shape Brain Activity
Repetitive TMS (rTMS) uses different stimulation patterns to induce lasting changes in brain activity. The key is frequency-dependent effects:
-
High-frequency rTMS (>5 Hz) is excitatory, increasing activity in underactive brain regions. It works through mechanisms similar to Long-Term Potentiation (LTP), the process of strengthening connections between neurons.
-
Low-frequency rTMS (<1 Hz) is inhibitory, calming overactive brain regions. This effect is achieved through mechanisms resembling Long-Term Depression (LTD), which weakens neural connections.
-
Theta Burst Stimulation (TBS) is a newer protocol that mimics the brain’s natural learning rhythms. It delivers bursts of high-frequency pulses at the brain’s theta rhythm (5 Hz), leading to rapid and powerful changes. Intermittent TBS (iTBS) is excitatory, while Continuous TBS (cTBS) is inhibitory. Both can achieve their effects in just a few minutes.
| Protocol Type | Typical Frequency | Effect (Excitatory/Inhibitory) | Duration of After-Effects |
|---|---|---|---|
| High-Frequency rTMS | > 5 Hz | Excitatory | Minutes to hours |
| Low-Frequency rTMS | < 1 Hz | Inhibitory | Minutes to hours |
| Intermittent TBS (iTBS) | 50 Hz bursts at 5 Hz | Excitatory | Minutes to hours (faster onset) |
| Continuous TBS (cTBS) | 50 Hz bursts at 5 Hz | Inhibitory | Minutes to hours (faster onset) |
These protocols allow clinicians to precisely tune brain activity, turning up underactive circuits and turning down overactive ones.
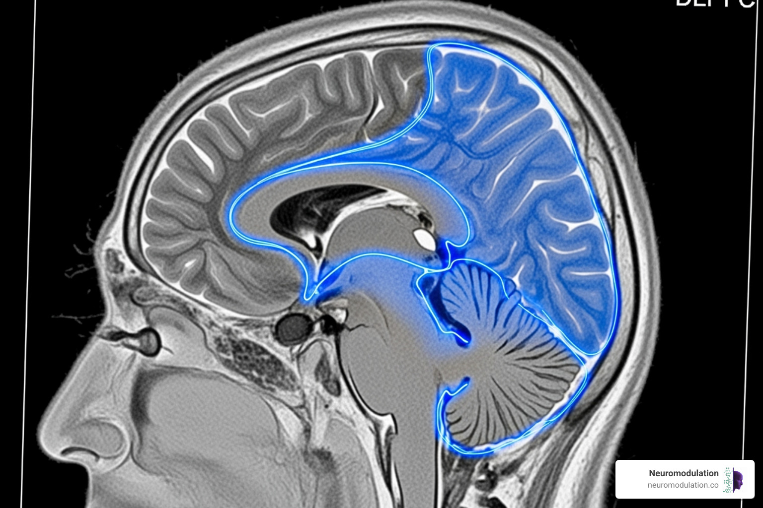
Targeting Dysfunctional Brain Circuits in Depression
Depression provides a clear example of how the TMS mechanism of action works. It is understood as a disorder of brain networks, which TMS can directly target.
The primary target is the dorsolateral prefrontal cortex (DLPFC), an area involved in mood regulation and executive function. In depression, the left DLPFC often shows hypoactivity (reduced activity). High-frequency rTMS is used to stimulate this region, effectively “waking it up.” This approach is highly effective and widely recommended.
TMS also modulates interconnected brain networks:
- Default Mode Network (DMN): Often hyperconnected in depression, leading to rumination. TMS helps normalize this connectivity.
- Frontostriatal Circuits: Important for motivation and reward. TMS can trigger dopamine release in striatal regions, helping to restore the brain’s reward system.
- Limbic System: The brain’s emotional center, including the subgenual cingulate cortex (sgACC) and amygdala. Though TMS stimulates the brain’s surface, its effects propagate to these deeper structures to regulate emotion.
The ultimate goal is restoring network balance, shifting the brain away from maladaptive patterns toward healthier functioning. Scientific research on TMS and brain connectivity confirms that treatment leads to significant changes in these crucial circuits.
Rewiring the Brain: Lasting Effects on Plasticity and Chemistry

The therapeutic effects of TMS are not confined to the treatment session. The therapy initiates long-term changes in brain structure, chemistry, and function that are central to lasting recovery. This process of rewiring is where the TMS mechanism of action creates its most profound impact.
Synaptic Plasticity: The Brain’s Ability to Change
Your brain’s ability to adapt and change is called synaptic plasticity. TMS harnesses this natural process to create lasting therapeutic benefits. It works by strengthening or weakening connections between neurons based on their activity, following the principle of Hebbian learning: “neurons that fire together, wire together.”
-
Long-Term Potentiation (LTP): This process strengthens connections between neurons that fire in sync. High-frequency rTMS and iTBS are designed to induce LTP-like effects, making neural pathways more efficient.
-
Long-Term Depression (LTD): This process weakens connections between neurons that are not firing in a coordinated way, helping to prune dysfunctional circuits. Low-frequency rTMS and cTBS induce LTD-like effects.
These changes are mediated by NMDA and AMPA glutamate receptors. When activated by TMS, these receptors trigger calcium signaling pathways inside the neuron. This can lead to structural synaptic changes, such as the growth of new dendritic spines (branches that receive signals) or an increase in receptor density. TMS helps reshape the brain’s architecture to support healthier thought and emotional patterns.
Modulating Neurotransmitters and Promoting Brain Health
The lasting benefits of TMS also stem from its effects on brain chemistry and overall cellular health.
-
Neurotransmitter Balance: TMS helps normalize key neurotransmitter systems. It can trigger dopamine release in striatal regions, which is crucial for motivation and pleasure. It also helps with serotonin system regulation and restores the GABA/Glutamate balance, creating a more stable neural environment.
-
Increased Brain-Derived Neurotrophic Factor (BDNF): TMS has been shown to significantly increase levels of BDNF, a protein that acts like fertilizer for the brain. BDNF promotes neuron survival, growth, and the formation of new connections. Scientific research on rTMS and BDNF levels has confirmed this link, showing that higher BDNF levels correlate with improved depression symptoms.
-
Neurogenesis and Cellular Health: The boost in BDNF contributes to neurogenesis-the growth of new neurons-particularly in the hippocampus. TMS also positively influences glial cell activity (the brain’s support cells) and has anti-inflammatory effects, creating a healthier environment for neural recovery.
Together, these neurochemical and cellular changes create a foundation for the brain to heal and function optimally, extending the benefits of treatment long after the sessions are complete.
Frequently Asked Questions about How TMS Works
How does TMS physically change the brain?
TMS physically changes the brain by using its natural ability to adapt, a process called synaptic plasticity. Repeated stimulation encourages brain circuits to rewire themselves. High-frequency protocols strengthen connections (LTP-like effects), while low-frequency protocols weaken them (LTD-like effects). This can lead to structural changes, like the growth of new connections between neurons.
Beyond rewiring, TMS also modulates neurotransmitter systems. It can increase dopamine to improve motivation, help regulate serotonin for mood stability, and normalize the balance between excitatory (glutamate) and inhibitory (GABA) signals.
Finally, TMS boosts brain health at a cellular level by increasing BDNF levels. This protein promotes neuron growth and survival, contributing to neurogenesis (the birth of new brain cells) and helping to normalize activity in key brain networks like the Default Mode Network.
Is the effect of TMS permanent?
The effects of TMS are designed to be long-lasting, not just temporary. The treatment induces neuroplastic changes, helping the brain form new, healthier patterns of activity that can persist long after the initial course of therapy is complete.
However, the effects are not always permanent for everyone. The durability of the benefit varies between individuals. Many patients experience relief for many months or even years. For others, especially those with chronic conditions like treatment-resistant depression, periodic maintenance sessions are often recommended to sustain the positive changes.
Think of TMS as a way to reset brain circuits and create a foundation for continued wellness. It can make the brain more resilient and better able to maintain healthy patterns, especially when combined with other positive lifestyle changes and therapies.
Why is frequency so important for the TMS mechanism of action?
Frequency is critical because it determines the effect of the stimulation. Different frequencies act like different instructions for the brain’s neurons, allowing for precise and targeted therapy.
-
High-frequency stimulation (>5 Hz) is generally excitatory. It increases activity in the targeted brain region and strengthens neural connections through a process similar to Long-Term Potentiation (LTP). This is used to “turn up” activity in underactive brain areas, such as the left prefrontal cortex in depression.
-
Low-frequency stimulation (<1 Hz) is generally inhibitory. It calms overactive brain regions and weakens connections through a process like Long-Term Depression (LTD). This is used to “turn down” hyperactivity.
Theta Burst Stimulation (TBS) protocols use a more complex pattern that mimics natural brain rhythms, allowing for very rapid and potent effects. By selecting the right frequency, clinicians can customize treatment to either up-regulate or down-regulate specific brain circuits based on a patient’s individual needs.
Comprehensive Approaches to Brain Health with TMS
While the TMS mechanism of action is powerful, optimal outcomes are often achieved through a comprehensive approach to brain health. TMS can create the neurobiological foundation for change, and other strategies can help build upon and sustain those improvements.
Integrating TMS with other evidence-based strategies can create a synergistic effect, leading to more robust and lasting results.
-
Psychotherapy: Cognitive-behavioral therapy (CBT) and other forms of therapy are excellent complements. While TMS rewires brain circuits, psychotherapy helps build new thinking patterns and coping skills, making the changes stick.
-
Pharmacological Support: For some patients, medication may be clinically indicated. The neuroplastic changes from TMS can sometimes improve medication effectiveness, allowing for a synergistic approach under a doctor’s guidance.
-
Lifestyle Modifications: These form the bedrock of brain health. Exercise naturally boosts BDNF, just like TMS. Proper nutrition provides the building blocks for neurotransmitters, and quality sleep is essential for consolidating the new neural connections formed during treatment.
-
Mindfulness and Stress Reduction: Practices like meditation and yoga help regulate the nervous system and reduce stress hormones, creating an optimal internal environment for neuroplasticity to flourish.
-
Support Groups and Community Resources: Connecting with others reduces isolation and provides a social support system, which is a crucial component of healing.
By combining TMS with these strategies, patients can create multiple pathways to recovery, leading to improved improvements in brain health and overall quality of life.
Conclusion: The Evolving Understanding of TMS Therapy
We’ve explored the journey from a magnetic pulse to a lasting therapeutic effect. The TMS mechanism of action is a remarkable story of physics meeting biology to heal the brain.
It begins with electromagnetic induction, where a magnetic field creates a precise electrical current in the brain. This current triggers neuronal depolarization, activating or inhibiting targeted brain regions. This is not just a local effect; it leads to network modulation, rebalancing entire brain circuits that have become dysfunctional in conditions like depression.
The most profound changes occur through synaptic plasticity. By inducing LTP or LTD, TMS helps the brain rewire itself, strengthening healthy connections and pruning unhealthy ones. These structural changes are supported by beneficial neurochemical changes, including boosts in dopamine and Brain-Derived Neurotrophic Factor (BDNF), which promote a healthier brain environment long after treatment ends.
As our understanding of the TMS mechanism of action deepens, we are entering an era of personalized medicine. Advanced neuronavigation and refined protocols are making treatment more precise and effective than ever. The future of TMS is bright, with its applications expanding to a growing list of neurological and psychiatric conditions.
At Neuromodulation, we are committed to staying at the forefront of these developments, making the science of brain health accessible to all.
For more information on the latest breakthroughs in brain health, explore the educational resources at Neuromodulation to find the latest advancements in neuromodulation technology and treatment approaches.