Deep Brain Stimulation Pain: Conquer >50% Relief
Understanding Deep Brain Stimulation for Chronic Pain
Deep brain stimulation pain management delivers targeted electrical pulses to specific brain regions to help relieve severe, treatment-resistant chronic pain. For people whose pain has not responded to medications, procedures, and less invasive neuromodulation, DBS is a sophisticated option within the neuromodulation toolkit.
Quick Facts:
- What it is: A surgically implanted system with brain electrodes connected to a pacemaker-like device in the chest.
- Who it’s for: Patients with intractable chronic pain unresponsive to conventional treatments.
- How it works: Modulates pain perception pathways by interrupting abnormal brain signals.
- Efficacy: About 30-60% of patients achieve meaningful relief (often defined as >=50% reduction).
- Common conditions treated: Post-stroke pain, phantom limb pain, brachial plexus injury, trigeminal neuropathic pain, chronic cluster headaches.
- Status: An advanced, specialized treatment, available in the U.S. under an FDA Humanitarian Device Exemption.
DBS is well-established for movement disorders like Parkinson’s disease; for chronic pain it is reserved for the most severe, refractory cases. The technology is evolving from continuous stimulation to adaptive systems that respond to real-time brain activity. A multidisciplinary evaluation is essential to determine candidacy. This guide summarizes the science, procedure, risks, benefits, and where the field is headed.
I’m Dr. Erika Peterson, I lead the Section of Functional and Restorative Neurosurgery at UAMS Medical Center and focus on developing devices, indications, and methods for neuromodulation, including deep brain stimulation pain therapies, in close collaboration with a multidisciplinary team.

What is Deep Brain Stimulation and How Does It Alleviate Pain?
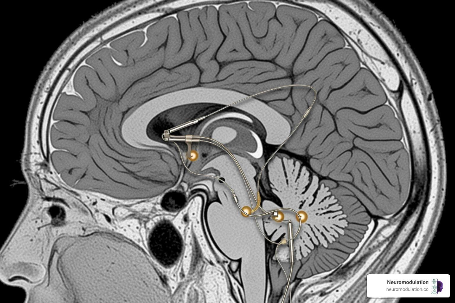
Deep brain stimulation works like a pacemaker for the brain. Thin electrodes are placed in specific deep brain areas and connected to an implantable pulse generator (IPG) in the chest, forming a complete DBS system that delivers controlled electrical pulses to targets involved in pain.

Using stereotactic neurosurgery, surgeons create a 3D map of your brain with MRI/CT to place electrodes with millimeter accuracy. Because brain tissue lacks pain receptors, parts of the procedure may be performed awake so the team can test stimulation and use your feedback to optimize placement.
Mechanism of Action: Modulating Pain Perception Pathways
Deep brain stimulation pain relief likely arises by modulating dysfunctional brain activity that sustains chronic pain, disrupting abnormal signals and helping restore more typical network patterns. DBS may reduce the intensity of pain and/or its affective component (the suffering and bother), consistent with modern pain concepts such as the Neuromatrix Theory.
A Look Back: Historical Context
Electrical stimulation for pain has roots in the 1950s. In 1972, UCSF professors John E. Adams, MD, and Yoshio Hosobuchi, MD, pioneered continuous DBS for chronic pain in the U.S., laying the groundwork for today’s programmable and increasingly adaptive systems.
Who is a Candidate for DBS and What Conditions Can It Treat?
DBS for pain is reserved for select patients after rigorous multidisciplinary evaluation (neurosurgery, pain medicine, neurology, psychology). Candidacy centers on refractory pain and realistic goals.
Patient Selection Criteria
- Intractable chronic pain: Persisting >=3-6 months despite comprehensive conventional care (medications, PT, injections, behavioral therapies).
- Failed less invasive options: Including neuromodulation like spinal cord stimulation where appropriate.
- Favorable pain type: Neuropathic pain often responds better; targets may be chosen based on whether sensory or affective components dominate.
- Psychological stability: Screening and treatment for conditions (e.g., depression, anxiety) to support success.
- Realistic expectations: Meaningful improvement (often >=50% relief) is success; complete elimination is rare.
- Medically appropriate: Sufficient overall health to undergo brain surgery and follow-up programming.
Chronic Pain Conditions Treated with DBS
- Post-stroke pain
- Phantom limb pain
- Brachial plexus injury pain
- Trigeminal neuropathic pain
- Parkinson’s disease-related pain
- Chronic cluster headaches
- Pain from spinal cord injury
- Failed Back Surgery Syndrome (Persistent Spinal Pain Syndrome)
Exploring non-drug pain management options is important alongside advanced interventions like DBS.
Evaluating the Efficacy and Safety of Deep Brain Stimulation for Pain
When considering deep brain stimulation pain management, it’s essential to balance likely benefits with risks.

Reported Outcomes and Efficacy Rates
Evidence is mixed but encouraging in carefully selected patients. A large systematic review on DBS for pain reported an average pain reduction around 47%, and over half of patients in several analyses achieved >=50% relief. Improvements may reflect reduced intensity, reduced affective burden, better sleep, and improved function. Efficacy can wane over 1-2 years for some patients; adaptive systems aim to mitigate this.
Potential Benefits and Limitations of Deep Brain Stimulation for Pain
Benefits:
- Reversible and non-destructive: Stimulation can be adjusted, turned off, or hardware removed.
- Adjustable programming: Non-invasive parameter tuning to optimize benefit and reduce side effects.
- Possible medication reduction: Many patients lower reliance on analgesics (including opioids).
- Quality-of-life gains: Better sleep, mood, and activity participation.
Limitations:
- Symptom control, not cure: Underlying etiology persists.
- Variable response: Some do very well; others do not respond.
- Ongoing management: Periodic programming and follow-up are required.
- Battery replacement: Non-rechargeable IPGs ~3-5 years; rechargeable often 10+ years.
Risks and Side Effects of DBS Surgery
Surgical risks include infection (~3-13%), intracranial hemorrhage (~2-4%, rarely with permanent deficit), and hardware issues (e.g., lead migration, fracture; up to ~15%). Other perioperative risks include seizure, headache, or transient confusion. Stimulation side effects (often adjustable) may include paresthesia, muscle tightness, dysarthria, balance or visual disturbances, mood changes, nausea, or headache. Teams work to balance relief with minimal side effects through careful programming.
The Future of Pain Management: Personalized and Adaptive DBS
The field is shifting from continuous stimulation to intelligent, responsive therapies that tailor treatment to each patient’s brain activity.

Personalized and Closed-Loop DBS
Closed-loop DBS functions like a thermostat: it senses neural activity, detects pain-related patterns (biomarkers), and delivers stimulation only when needed, then quiets when signals normalize. A 2023 UCSF milestone identified individual pain biomarkers, enabling more personalized therapy; see the discovery of individual pain biomarkers. Early studies suggest more durable relief, fewer side effects, and longer battery life compared with always-on systems.
Technological Advancements and Research Challenges
Directional leads allow more precise current steering. Artificial intelligence helps decode complex neural data and guide parameter selection. Major needs include larger randomized controlled trials and diagnosis-specific evidence to predict responders, along with ethical navigation of sham-controlled surgical studies.
How DBS Fits into the Broader Landscape of Pain Management
DBS sits at the advanced end of a stepwise pain-care pathway.
Overview of Neuromodulation Techniques
Neuromodulation options include:
- Spinal Cord Stimulation (SCS): Epidural electrodes interrupt pain signals, often for failed back surgery syndrome or complex regional pain syndrome.
- Dorsal Root Ganglion (DRG) Stimulation: Targets specific sensory ganglia for localized pain.
- Peripheral Nerve Stimulation (PNS): Electrodes near individual nerves for focal neuropathic pain.
- Non-invasive approaches like Transcranial Magnetic Stimulation (TMS) and Vagus Nerve Stimulation (VNS).
Role of DBS in Advanced Pain Management
Typical pathway:
- Conventional care: Medications, physical therapy, injections.
- Psychological and complementary therapies: CBT, mindfulness, acupuncture, biofeedback; see non-drug pain management options.
- Less invasive neuromodulation: SCS, DRG, or PNS.
- Deep Brain Stimulation: For complex, central, or widespread neuropathic pain (e.g., post-stroke pain, phantom limb pain) refractory to other therapies.
Regulatory and Reimbursement Landscape
In the U.S., DBS for pain is typically off-label or under an HDE. Coverage can be variable and may require appeals. As evidence and patient-selection tools improve, access is expected to expand.
Comparing DBS with Other Pain Management Approaches:
| Treatment Type | Mechanism of Action | Invasiveness | Reversibility | Typical Use Cases |
|---|---|---|---|---|
| Medications | Block pain signals chemically; reduce inflammation; alter neurotransmitter levels | Non-invasive (oral/topical) to minimally invasive (injections) | Fully reversible; effects wear off when medication is stopped | First-line treatment for most pain conditions; acute and chronic pain |
| Physical Therapy | Improves mobility, strength, and function; releases natural pain-relieving chemicals | Non-invasive | Fully reversible; benefits maintained through continued practice | Musculoskeletal pain; post-injury rehabilitation; chronic back pain |
| Cognitive-Behavioral Therapy | Changes pain perception and coping strategies; addresses emotional components | Non-invasive | Fully reversible; skills can be applied long-term | Chronic pain with significant emotional impact; pain-related anxiety or depression |
| Spinal Cord Stimulation | Delivers electrical pulses to spinal cord; interrupts pain signals | Minimally invasive (epidural space) | Reversible; device can be turned off or removed | Failed back surgery syndrome; complex regional pain syndrome; neuropathic leg/arm pain |
| Peripheral Nerve Stimulation | Targets specific peripheral nerves with electrical stimulation | Minimally invasive | Reversible; device can be turned off or removed | Localized neuropathic pain; post-surgical pain; specific nerve injuries |
| Deep Brain Stimulation | Modulates pain processing centers in the brain with electrical pulses | Highly invasive (intracranial) | Reversible; device can be turned off or removed | Treatment-resistant central neuropathic pain; post-stroke pain; phantom limb pain; trigeminal neuropathy |
| Complementary Therapies (acupuncture, mindfulness, biofeedback) | Various mechanisms; promotes relaxation; improves body’s natural pain management | Non-invasive | Fully reversible | Adjunct therapy for various chronic pain conditions; stress-related pain |
What is Deep Brain Stimulation and How Does It Alleviate Pain?

Brief recap: DBS is a brain “pacemaker” that uses implanted electrodes and an implantable pulse generator to modulate pain networks. The complete DBS system delivers custom electrical pulses to specific targets chosen via precise stereotactic neurosurgery. By altering abnormal activity in pain circuits, deep brain stimulation can decrease intensity and/or the affective burden of chronic pain. See the earlier section for full details and historical context.
Who is a Candidate for DBS and What Conditions Can It Treat?
DBS candidacy focuses on severe, treatment-resistant pain after comprehensive care. Key elements include intractable symptoms, prior failure of less invasive neuromodulation, psychological readiness, and realistic goals.
Common conditions where DBS may help include post-stroke pain, phantom limb pain, brachial plexus injury, trigeminal neuropathic pain, Parkinson’s disease-related pain, chronic cluster headaches, central pain after spinal cord injury, and Failed Back Surgery Syndrome or Persistent Spinal Pain Syndrome. Complementary strategies and non-drug pain management remain important alongside DBS.
Evaluating the Efficacy and Safety of Deep Brain Stimulation for Pain

Summary of evidence: A major systematic review on DBS for pain reported roughly 47% average pain reduction, with over half of patients in several series achieving >=50% relief. Benefits may include less pain intensity, reduced bothersomeness, improved sleep and function. Some patients experience diminished effect over time; adaptive DBS is being developed to address this.
Risks include infection (~3-13%), brain hemorrhage (~2-4%), and hardware complications (up to ~15%). Stimulation side effects are often mitigated by programming adjustments. For surgical details, see deep brain stimulation surgery.
The Future of Pain Management: Personalized and Adaptive DBS

Closed-loop DBS detects pain-related neural signatures and delivers on-demand stimulation, potentially improving durability and lowering side effects. Foundational work identifying individual pain biomarkers is outlined here: discovery of individual pain biomarkers. Directional leads and AI-guided analytics further refine targeting and programming. Remaining needs include larger diagnosis-specific RCTs and ethical solutions for sham-controlled surgical research.
How DBS Fits into the Broader Landscape of Pain Management
Neuromodulation spans multiple options before DBS is considered.
- Spinal Cord Stimulation (SCS) for failed back surgery syndrome/CRPS.
- Dorsal Root Ganglion (DRG) Stimulation for focal pain.
- Peripheral Nerve Stimulation (PNS) for targeted neuropathic pain.
- Non-invasive options like Transcranial Magnetic Stimulation (TMS) and Vagus Nerve Stimulation (VNS).
Care pathway: conventional therapies -> psychological/complementary care (e.g., CBT, mindfulness, acupuncture; see non-drug options) -> less invasive neuromodulation -> DBS for refractory central/widespread neuropathic pain. In the U.S., DBS for pain is mainly off-label or under HDE, so coverage varies and may require appeals.
Frequently Asked Questions about DBS for Pain
Considering an advanced therapy like deep brain stimulation pain management naturally brings up practical questions. Here are answers to some common concerns.
Is DBS for pain considered experimental?
The answer is nuanced. DBS is an established, FDA-approved treatment for movement disorders like Parkinson’s disease and certain psychiatric conditions. For these uses, it is standard care.
For chronic pain, however, its status is different. In the U.S., it is often considered investigational or used under a specific FDA Humanitarian Device Exemption for intractable pain. This means it is not a first-line treatment but a specialized option reserved for severe cases where patients have exhausted all other therapies. The evidence base for its use in pain is continually growing, backed by decades of clinical experience.
What does the stimulation feel like?
Ideally, you shouldn’t feel the stimulation at all. The goal is to provide pain relief without creating other sensations. However, depending on the electrode placement (particularly in sensory brain regions), some patients may experience a mild, non-painful tingling or buzzing sensation known as paresthesia. These sensations are typically well-tolerated and can be minimized or eliminated by adjusting the device’s settings. Your clinical team will work with you to find the right balance for maximum pain relief with minimal sensation.
How long does the DBS battery last?
Battery life depends on the type of implantable pulse generator (IPG) you have and your specific stimulation settings.
- Non-rechargeable batteries generally last 3 to 5 years. When the battery is depleted, the IPG is replaced in a minor outpatient surgical procedure.
- Rechargeable batteries have a much longer lifespan, often 10 years or more (some up to 25 years). These require you to recharge the device regularly with an external unit, similar to charging a phone.
Your team will discuss which option is best for your lifestyle and treatment needs.
Conclusion: Navigating Your Options for Chronic Pain
Living with severe chronic pain can be an isolating journey, especially when conventional treatments fail. Deep brain stimulation pain management is one of the most advanced options available—a sophisticated therapy that, for the right patient, can be life-changing.
We’ve explored how this neuromodulation device works by interrupting faulty pain signals in the brain. We’ve also seen how the future is moving toward personalized, adaptive systems that act like a thermostat for pain, using AI and individual pain biomarkers to deliver smarter, more effective relief.
However, DBS is just one piece of the puzzle. The most successful outcomes arise from a collaborative, multidisciplinary approach that combines medical expertise from neurosurgery, pain medicine, psychology, and physical therapy. This ensures all aspects of your pain are addressed.
At Neuromodulation, our mission is to provide clear, evidence-based educational resources for both clinicians and patients navigating the cutting-edge field of neuromodulation. An informed patient is empowered to make the best decisions for their health. Understanding all your options is the first step toward finding the right path for you.
Your journey with chronic pain is unique, and your treatment should be too. Whether you are just beginning to explore advanced therapies or are considering DBS, we are here to help you steer these complex decisions with confidence.
Explore our comprehensive resources on advanced pain therapies to learn more about the full spectrum of options available and how we can support you in finding lasting relief.