Hypoglossal Nerve Stimulator Radiology 2025: Top Insights
Why Understanding Your Hypoglossal Nerve Stimulator on Medical Images Matters
Hypoglossal nerve stimulator radiology plays a crucial role in ensuring your sleep apnea treatment works safely and effectively. Understanding what radiologists look for on your imaging studies helps you become an informed partner in your care.
Key imaging essentials for HNS patients:
- Post-operative chest X-ray – Documents baseline device position and rules out pneumothorax
- Device components visible – Pulse generator in upper chest, sensing lead along ribs, stimulation lead in neck
- MRI safety varies by model – Newer models are often MRI-conditional, while older ones may be unsafe
- CT scans are always safe – Provide detailed views for troubleshooting device problems
- Lead migration detection – Imaging can identify when components move from proper position
More than 100,000 people worldwide have received hypoglossal nerve stimulators for obstructive sleep apnea. As this therapy grows, both patients and healthcare providers need clear guidance on how these devices appear on medical imaging and what safety considerations apply.
A routine post-operative chest X-ray is obtained after HNS implant surgery to document baseline device position and rule out complications like pneumothorax. This baseline image becomes your reference point for all future imaging studies.
I’m Dr. Erika Peterson, a neurosurgeon specializing in neuromodulation at the University of Arkansas for Medical Sciences, where I direct the Section of Functional and Restorative Neurosurgery. My expertise in hypoglossal nerve stimulator radiology comes from years of working with imaging teams to optimize device placement and troubleshoot complications in sleep apnea patients. Throughout this guide, I’ll help you understand exactly what radiologists see when they examine your HNS device and why each type of imaging study matters for your ongoing care.

What to Expect on Your First Post-Op X-Ray
Your first X-ray after hypoglossal nerve stimulator surgery is like taking a “first day of school” photo for your new device. While you’re likely still feeling groggy from anesthesia, your medical team is already hard at work making sure everything looks perfect on your imaging studies.
This initial chest X-ray happens right in the recovery room, usually within an hour of your surgery finishing. It’s not just routine paperwork – this image becomes your device’s baseline reference that we’ll compare against for years to come.
Your surgical team has two main goals with this first X-ray: confirming that all three components of your HNS system landed exactly where they should be, and making sure there aren’t any immediate complications hiding in your chest cavity.
The most important complication we’re watching for is called pneumothorax – essentially a collapsed lung that can sometimes happen when we work near your chest cavity. It’s rare, but catching it early makes all the difference. Think of this X-ray as your safety net, ensuring you can head home with complete confidence.
This comprehensive overview of HNS therapy and imaging starts your journey on the right foot. Your surgeon has just spent about 90 minutes carefully placing your device components, and now we get to see their handiwork in black and white.
Normal Radiographic Appearances
When your radiologist examines your chest X-ray, they’re essentially reading a roadmap of your new HNS system. Each component has its own distinctive signature on the image, like familiar landmarks on a well-traveled route.
The star of the show is your Implantable Pulse Generator (IPG) – the brain of your entire system. On your X-ray, it appears as a bright white, rectangular device sitting comfortably in your right upper chest wall. Your surgeon tucked it right under the skin, usually nestled over your pectoralis muscle.
Why the right side? It keeps the device away from your heart’s electrical activity and gives the cleanest signal possible. The IPG is roughly the size of a large coin, so while you might feel it under your skin initially, most patients forget it’s even there within a few weeks.
Next, we follow the respiratory sensing lead as it travels from your IPG down toward your lower chest. This thin, wire-like structure shows up as a delicate curved line on your X-ray, extending into the space between your ribs (called the intercostal space).
This clever little lead has one job: monitoring your breathing patterns by detecting when your diaphragm moves. Every time you take a breath, it sends a signal back to the IPG saying “now’s the time to stimulate!” It’s like having a personal breathing coach that never takes a break.

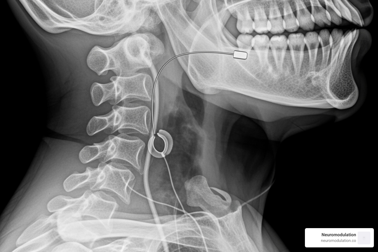
Identifying the Stimulation Lead in the Neck
While your chest X-ray shows two-thirds of the story, we need a separate neck X-ray to see the third critical piece: the stimulation lead that actually treats your sleep apnea.
Your neck radiograph reveals this fine wire extending upward from your chest device, traveling under your skin like a hidden highway, until it reaches its destination in the area under your chin called the submandibular region.
The magic happens at the end of this lead – a tiny cuff electrode that your surgeon carefully wrapped around a branch of your hypoglossal nerve. This is the twelfth cranial nerve, and it controls all the muscles that move your tongue.
On your lateral neck X-ray, we can trace this lead’s path and make sure it follows a smooth, natural curve without any sharp bends or kinks. The cuff itself might appear as a small bright spot encircling the nerve, though sometimes it’s quite subtle.
Here’s where the real treatment occurs: when that cuff delivers its gentle electrical pulse, it activates your genioglossus muscle – the main muscle responsible for pushing your tongue forward. This forward movement opens your airway, preventing the collapse that causes your sleep apnea episodes.
Your radiologist examines the soft tissue landmarks around the lead to confirm it’s positioned for optimal nerve stimulation. This detailed view of hypoglossal nerve stimulator radiology ensures your device is ready to deliver years of effective therapy, helping you breathe easily and sleep soundly every night.

A Radiologist’s Guide to Hypoglossal Nerve Stimulator Radiology
Your relationship with medical imaging doesn’t end after your successful HNS surgery. In fact, hypoglossal nerve stimulator radiology becomes an ongoing partnership that helps ensure your device continues working perfectly for years to come. Think of it as regular maintenance for your car—we want to catch any small issues before they become bigger problems.
As someone who works closely with imaging teams every day, I can tell you that radiologists have become quite skilled at reading these devices. We’re not just looking at pretty pictures; we’re solving puzzles. When a patient calls and says, “My device doesn’t feel the same” or “I think my sleep apnea is coming back,” that’s when our detective work begins.
The beauty of modern hypoglossal nerve stimulator radiology lies in our collaborative approach. Your sleep doctor notices the symptoms, your ENT surgeon understands the device mechanics, the device representative knows the technical specifications, and we radiologists can see what’s actually happening inside your body. Together, we form a pretty effective team.
Most of the time, everything looks perfect on follow-up imaging. But when something is off, having that baseline post-op X-ray from day one becomes invaluable. We can compare your current images side-by-side with that original “baby picture” of your device to spot even the tiniest changes.
Identifying Complications with Hypoglossal Nerve Stimulator Radiology
Let me be upfront with you—serious complications with HNS devices are genuinely rare. But when they do happen, imaging is often how we figure out what’s going on. It’s like having X-ray vision into your body to see exactly what your device is up to.
The most common issue we encounter is lead migration. This is when one of your device leads decides to take a little journey from where it was originally placed. Sometimes the respiratory sensing lead in your chest shifts position, or the stimulation lead in your neck moves away from the hypoglossal nerve. When this happens, your device might not work as well as it used to.
I remember one patient who came in saying her device “just felt different.” When we compared her current chest X-ray to her post-op baseline, we could see that her stimulation lead had shifted just slightly. It wasn’t a dramatic change, but it was enough to reduce the effectiveness of her therapy. That’s the power of having good baseline images for comparison.
Lead fracture is another concern, though thankfully uncommon. Think of it like a wire that gets bent too many times—eventually, it might break. We can usually spot these breaks on X-rays, especially when we know what to look for. Sometimes a lead might become dislodged from the pulse generator, which shows up as a gap where the connection should be.
The pulse generator itself can occasionally have issues too. We watch for device displacement—when the whole unit shifts from its pocket in your chest wall. More seriously, we look for signs of generator pocket erosion, where the device starts pushing through the skin. This is rare, but when it happens, we can see changes in the soft tissues around the device.
Fluid collection around the device components can indicate problems ranging from simple seromas (fluid pockets) to more concerning signs of infection. While infections occur in less than 1% of patients, we take them very seriously. On imaging, we might see swelling, fluid, or changes in the tissues around your device.
Here’s a real case that shows how imaging solves these puzzles: A patient reported pain and decreased effectiveness six months after surgery. His X-ray looked normal at first glance, but a CT scan revealed that his respiratory sensing lead had migrated into muscle tissue, causing irritation. Once we identified this with imaging, the surgical team could plan the perfect revision procedure.

The Role of CT Scans in Hypoglossal Nerve Stimulator Radiology
Sometimes X-rays are like looking at a shadow on the wall—you can see the general shape, but you’re missing important details. That’s when we turn to CT scans for hypoglossal nerve stimulator radiology. The great news is that CT scans are completely safe with your HNS device, so we can use them whenever we need that extra detail.
CT scans are like having a super-powered magnifying glass that can see through your body in thin slices. Instead of the flat, two-dimensional view of an X-ray, CT gives us a three-dimensional understanding of exactly where your device components are and how they relate to your anatomy.
This detailed view becomes crucial when we’re troubleshooting non-functioning devices. In one study, CT scans were the key to diagnosing problems in half of the cases where devices weren’t working properly. The extra detail helped identify issues that were invisible on regular X-rays.
When we’re assessing lead integrity, CT scans can spot hairline fractures or subtle disconnections that might be missed otherwise. The technology is so advanced now that we can create 3D reconstructions of your device, essentially building a computer model that shows exactly how everything fits together inside your body.
Modern CT scanners also use metal artifact reduction techniques. This fancy term means they’re much better at dealing with the streaking and blurring that metal implants used to cause on older scanners. The result? Clearer, more detailed images that help us make better diagnoses.
For pre-surgical planning, CT scans help surgeons understand the exact anatomy before revision procedures. And for post-operative assessment, they provide the most comprehensive view possible of how your device is positioned and functioning.
The bottom line? While X-rays are our go-to for routine follow-ups, CT scans are our secret weapon when we need to solve complex problems or get the most detailed view possible of your HNS system.
MRI Safety and Your Hypoglossal Nerve Stimulator
When you have a hypoglossal nerve stimulator, one of the first questions that probably crosses your mind is: “Can I still get an MRI if I need one?” It’s a completely understandable concern, and the answer isn’t simply yes or no—it depends entirely on which specific device model you have.
Hypoglossal nerve stimulator radiology becomes particularly important when we’re talking about MRI safety. Unlike a simple X-ray or CT scan, MRI machines use incredibly powerful magnets—up to 60,000 times stronger than Earth’s magnetic field—along with radiofrequency waves to create detailed images of your body. These powerful forces can interact with metallic implants in ways that require careful consideration.
The key concept you need to understand is the difference between “MRI conditional” and “MRI unsafe.” Think of MRI conditional devices like having a special pass that lets you into certain areas under specific rules. Your device might be safe for MRI scans, but only under particular conditions—perhaps only with certain magnet strengths, for limited time periods, or only when scanning specific body parts.
An MRI unsafe device, on the other hand, means it should never enter an MRI environment, period. It’s like having a “do not enter” sign that we take very seriously.
The main safety concerns revolve around ferromagnetic components that could be attracted by the strong magnetic field (imagine a powerful magnet pulling on metal objects), and radiofrequency heating, where the RF waves can heat up metallic parts of your device, potentially causing tissue damage. There’s also the risk of device malfunction or permanent damage to your device’s electronics due to electromagnetic interference.
This is why we have strict patient safety protocols. Before any MRI scan, our radiology team conducts thorough screening to ensure your specific HNS device model is compatible and that we take all necessary precautions. Your safety always comes first, and clear communication is absolutely essential in this process.
How to Determine if Your HNS is MRI-Safe
Figuring out whether your specific device is MRI-safe might feel like solving a puzzle, but we’re here to make it straightforward. The most crucial piece of information is your exact device model number—different models have completely different MRI guidelines.
Your patient identification card is your first and best resource. When your HNS was implanted, you should have received this card, which lists the manufacturer, device type, and most importantly, your specific model number. Think of this card as your device’s passport—always keep it with you, especially when visiting any medical facility.
If you can’t locate your card, don’t panic. Your medical records from your implanting surgeon or the hospital where the procedure was performed contain all the detailed specifications of your device. Sometimes, the device model number or a unique identifier might even be visible on an X-ray, though this isn’t our primary method for identification.
When all else fails, contacting the manufacturer directly can provide the information you need. They can often help based on your patient information and surgical date.
Once you know your device model, the next step is crucial: always communicate this clearly to your radiology department and MRI technologist. They have comprehensive pre-scan screening checklists that include verifying device compatibility. We’ll review your specific model’s guidelines to ensure your safety throughout the entire MRI procedure. Your proactive communication isn’t just helpful—it’s a vital part of keeping you safe.
MRI Guidelines for Neuromodulation HNS Models
Understanding MRI compatibility across different HNS models is absolutely critical for your safety. Not all devices are created equal when it comes to MRI eligibility, and the differences can be significant.
| Device Model Category | MRI Compatibility |
|---|---|
| Newer Full-Body MRI Conditional Models | MRI Conditional – Safe for full-body MRI scans at 1.5T and 3.0T under specific conditions. Must follow manufacturer’s guidelines for positioning and SAR limits. |
| MRI Unsafe Models | MRI Unsafe – Should never enter an MRI environment. No exceptions for any body part or scan type. |
| Limited MRI Conditional Models | MRI Conditional – Limited to head, neck, and extremity scans only. Full-body scans not permitted. Specific positioning requirements apply. |
The most modern, MRI-friendly devices allow for full-body scans when proper protocols are followed. However, even with these models, specific SAR (Specific Absorption Rate) limits and positioning requirements must be carefully observed.
Some models, particularly older ones, fall into the MRI unsafe category entirely. If you have one of these models, alternative imaging methods like CT scans (which are always safe) or ultrasound may be recommended instead.
For patients with other MRI-conditional models, MRI may be possible but with important limitations. You can have scans of your head, neck, or arms and legs, but full-body or chest imaging may not be permitted due to safety concerns.
These guidelines can change as technology advances and manufacturers update their safety protocols. Always verify the most current information with your healthcare team before any MRI procedure. When in doubt, your radiologist and device manufacturer can work together to determine the safest imaging approach for your specific situation.
Frequently Asked Questions about HNS Imaging
Living with a hypoglossal nerve stimulator brings up lots of questions, especially when it comes to medical imaging and everyday situations. As someone who works with these devices daily, I understand your concerns. Let me walk you through the most common questions we hear from patients about hypoglossal nerve stimulator radiology.
Can I go through airport security with a hypoglossal nerve stimulator?
Yes, you can absolutely travel with your hypoglossal nerve stimulator! Your device is completely safe for airport security, so there’s no need to worry about missing that family vacation or business trip.
Here’s what typically happens: Your HNS contains metallic components that will likely trigger the metal detector. This is totally normal and expected. The key is being prepared and communicating clearly with security personnel.
Always carry your patient identification card with you when traveling. This card clearly identifies your medical device and helps security agents understand what they’re seeing. When you approach the checkpoint, simply inform the security agents that you have an implanted medical device. They’re trained to handle these situations professionally and respectfully.
You might be asked to undergo a brief pat-down or screening with a handheld wand, but this won’t harm your device in any way. The X-ray body scanners and metal detectors used at airports pose no risk to your HNS functionality. Your device will continue working normally throughout the entire security process.
Does imaging for a hypoglossal nerve stimulator use radiation?
This is one of the most thoughtful questions we receive, and I’m glad you’re thinking about your overall health picture. The answer depends entirely on which type of imaging we’re using to check your device.
X-rays and CT scans do use ionizing radiation, but let me put this in perspective for you. A single chest X-ray delivers about the same amount of radiation you’d naturally receive from the environment over just a few days. It’s genuinely a very small amount.
CT scans involve higher radiation doses than simple X-rays, but we only recommend them when we need that extra detail to troubleshoot a specific issue. The clinical benefit of getting the information we need always outweighs the minimal radiation risk. Plus, modern CT scanners are designed to use the lowest possible dose while still giving us clear, diagnostic-quality images.
The good news is that we have excellent non-radiation imaging options too. Ultrasound uses harmless sound waves to create images and works beautifully for evaluating soft tissues around your device. MRI uses powerful magnetic fields instead of radiation, though as we discussed earlier, MRI compatibility depends on your specific device model.
All HNS therapy patients can safely have X-rays, CT scans, and ultrasound imaging anywhere on their body. This gives us plenty of safe options for monitoring your device over the years.
Who interprets the images of my HNS device?
Your hypoglossal nerve stimulator radiology images are read by specially trained doctors called radiologists. These aren’t just any doctors—they’re board-certified physicians who’ve spent years learning the intricate art and science of medical imaging.
Many of these radiologists have gone even further, developing subspecialty expertise in areas like neuroradiology or body imaging. This extra training is incredibly valuable when evaluating complex devices like your HNS. They know exactly what to look for: proper device placement, signs of lead migration, potential complications, and whether everything looks as it should.
What makes this process really powerful is the collaboration with your clinical team. Your radiologist doesn’t work in isolation. They communicate directly with your sleep specialist, ENT surgeon, and the entire neuromodulation team. After carefully examining your images, they provide a detailed report that becomes part of your comprehensive care plan.
This team approach ensures that every aspect of your device function is monitored and any issues are caught early. It’s like having a whole group of experts working together to ensure your HNS continues helping you get the restful sleep you deserve.
Conclusion
Your journey with hypoglossal nerve stimulator radiology doesn’t end when you leave the hospital after surgery—it’s really just beginning. Think of medical imaging as your device’s lifelong companion, quietly working behind the scenes to ensure everything stays exactly where it should be and functions perfectly for years to come.
From that very first post-operative chest X-ray that captures your device’s “baby photos,” to the detailed troubleshooting scans that help us solve any puzzles that might arise, imaging is always there when we need it. Whether we’re confirming that your pulse generator is sitting comfortably in your upper chest, checking that your respiratory sensing lead is perfectly positioned to monitor your breathing, or ensuring your stimulation lead is right where it needs to be to keep your airway open, hypoglossal nerve stimulator radiology gives us the eyes we need to see inside your body.
Remember those MRI safety guidelines we discussed? They’re not just medical fine print—they’re your roadmap to safe imaging for life. Whether you have a newer, MRI-conditional model or need to avoid MRI entirely with an older, unsafe one, knowing your device model and carrying that patient ID card makes you an empowered participant in your own care.
At Neuromodulation, we’ve seen how knowledge transforms anxiety into confidence. When you understand what that radiologist is looking for on your images, when you know why we sometimes need a CT scan to get a closer look, and when you can confidently walk into any medical facility knowing exactly what imaging is safe for your device, you’re not just a patient—you’re a partner.
The beauty of modern hypoglossal nerve stimulator radiology is that it’s designed to grow with you. As imaging technology advances and becomes even more precise, your care team will always have the tools they need to keep your therapy working optimally. That’s the power of proactive communication and ongoing collaboration between you, your physicians, and the imaging specialists who help keep everything running smoothly.
Sweet dreams start with clear airways, and clear airways start with a device that’s perfectly positioned and functioning beautifully. We’re here to make sure both happen, one image at a time.
Learn more about advanced neuromodulation therapies