Convection enhanced delivery: Unlocking Hope 2025
Why Convection Improved Delivery Matters for Neurological Care
Convection improved delivery (CED) is a drug delivery technique using pressure-driven flow to deliver therapeutic agents directly into brain tissue. This bypasses the blood-brain barrier, which blocks approximately 98% of potential neurological therapeutics from reaching their targets. CED uses catheters to create a bulk flow of drugs, achieving higher local concentrations over centimeters of tissue with minimal systemic exposure. It can deliver large molecules, nanoparticles, and gene therapy vectors, making it a promising approach for brain tumors, Parkinson’s disease, and epilepsy.
Traditional intravenous or oral medications often fail to achieve therapeutic brain concentrations or require doses so high they cause prohibitive toxic side effects. CED addresses this by creating a direct pathway to diseased tissue. Instead of relying on passive diffusion, CED uses active pressure-driven flow to distribute agents over clinically relevant volumes.
Clinical trials have shown CED’s potential. The PRECISE trial, for instance, improved progression-free survival for glioblastoma patients. As Dr. Erika Peterson, a board-certified neurosurgeon specializing in functional and restorative neurosurgery at UAMS Medical Center, I’ve witnessed how convection improved delivery represents a paradigm shift. My research in neuromodulation and surgical innovation has shown me the transformative potential of targeted delivery systems like CED.

Essential Convection improved delivery terms:
The Science Behind Convection Improved Delivery (CED)
The blood-brain barrier (BBB) is a protective shield that, while essential, prevents about 98% of potential drugs from reaching the brain. Convection improved delivery (CED) is a game-changer that bypasses this barrier.

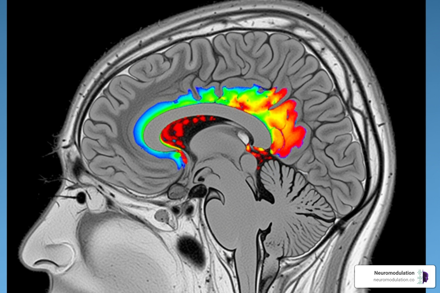
CED works by directly infusing therapeutic agents into the brain’s interstitial space (the fluid-filled gaps between cells). Instead of slow diffusion, CED uses gentle, continuous pressure to actively push medication through brain tissue. This “bulk flow” distributes drugs much farther and more uniformly. While diffusion might move a drug millimeters, CED can distribute medications centimeters deep, creating high local concentrations with minimal systemic side effects. For technical details, A review of CED mechanisms offers an in-depth explanation.
How Does CED Work?
The CED process starts with precise MRI or CT imaging to map the target area. During the procedure, neurosurgeons insert ultra-thin catheters into the brain. These catheters are connected to a specialized pump that creates a positive pressure gradient, gently pushing the liquid medication into the brain tissue at a controlled flow rate (typically 0.1 to 10 microliters per minute). This ensures optimal distribution over large, clinically relevant volumes without causing tissue damage.
Overcoming the Blood-Brain Barrier
The BBB is a major obstacle in treating brain diseases. Most conventional drugs simply cannot cross the BBB in effective amounts. Convection improved delivery provides a physical bypass around the blood-brain barrier, delivering drugs directly into brain tissue. This allows for the delivery of large molecules (like antibodies), gene therapy vectors, and nanoparticles. Even conventional small molecules can achieve much higher concentrations with CED, making it a valuable tool for conditions where the BBB is intact.
Advantages and Applications of CED
The direct, pressure-driven nature of convection improved delivery offers compelling advantages over traditional drug administration.

Perhaps the most significant advantage is highly targeted therapy. By delivering drugs directly to diseased tissue, CED achieves high local concentrations, which leads to reduced systemic side effects. Unlike systemic chemotherapy, CED keeps potent medications localized, allowing for the use of agents that might otherwise be too toxic. The predictable distribution volume allows for precise treatment planning, and the technique can deliver a wide range of therapeutic agents, from small molecules to large gene therapy vectors.
Key Advantages Over Traditional Methods
This table highlights the key differences between CED and other methods:
| Feature | Convection Improved Delivery (CED) | Systemic Chemotherapy (IV/Oral) | Intrathecal Delivery (IT) |
|---|---|---|---|
| BBB Bypass | Complete physical bypass, allowing delivery of virtually any therapeutic agent | Limited to small, fat-soluble molecules; most large molecules are blocked | Partial bypass through spinal fluid, but limited deep brain penetration |
| Drug Concentration at Target | High local concentration with predictable, uniform distribution | Low and often insufficient; requires high doses that affect the whole body | Variable, strongest near spinal fluid spaces, weaker deeper in brain tissue |
| Systemic Toxicity | Minimal, since medication stays localized to the brain | High, with widespread side effects like nausea, hair loss, and immune suppression | Moderate, with potential for both brain and body-wide effects |
| Types of Agents Deliverable | Extremely wide range: small molecules, large proteins, nanoparticles, gene therapies | Limited to molecules that can cross the blood-brain barrier naturally | Primarily traditional chemotherapy drugs that dissolve in spinal fluid |
| Penetration Depth | Can reach centimeters deep into brain tissue | Often can’t reach brain tissue in meaningful concentrations | Usually limited to millimeters from fluid-filled spaces |
| Monitoring of Delivery | Real-time visualization possible using MRI contrast agents | Difficult to monitor actual brain tissue levels | Indirect monitoring through spinal fluid samples |
Conditions Treated with Convection Improved Delivery
CED’s versatility makes it suitable for some of the most challenging neurological conditions.
- Malignant brain tumors: This is the most established application. For Glioblastoma (GBM) and Anaplastic astrocytoma, CED delivers potent anti-cancer agents directly into the tumor and surrounding tissue where invasive cells hide. It also offers new hope for Diffuse Intrinsic Pontine Glioma (DIPG), a devastating pediatric brainstem tumor that is surgically inaccessible and resistant to conventional therapies.
- Neurodegenerative diseases: In Parkinson’s disease, CED is being explored to deliver protective factors like GDNF to protect and restore dopamine-producing neurons. Research on CED for Parkinson’s disease continues to show promise.
- Other Conditions: CED is also being investigated for treatment-resistant epilepsy (delivering anti-seizure agents to the seizure focus) and lysosomal storage diseases (delivering replacement enzymes directly to the brain).
Clinical Landscape: Trials, Challenges, and Risks
The clinical translation of convection improved delivery has involved rigorous trials testing a wide range of agents, from immunotoxins to gene therapies.

Key Findings from Clinical Trials
Perhaps no single study has shaped our understanding of convection improved delivery more than the PRECISE trial. This Phase III study compared CED delivery of an immunotoxin against Gliadel Wafers for recurrent glioblastoma. While it did not show an overall survival benefit, it demonstrated a significant improvement in progression-free survival (17.7 weeks for CED vs. 11.4 weeks). A key takeaway, detailed in the Summary of the PRECISE trial, was that catheter placement accuracy was critical for success.
More recent Phase Ib trials using chronic convection improved delivery to deliver topotecan have also been promising. This chemotherapy agent is effective in the lab but fails when given systemically. With CED, all patients completed treatment safely and showed a significant reduction in proliferating tumor cells, proving CED could overcome the delivery barrier.
Limitations and Potential Risks of Convection Improved Delivery
As promising as convection improved delivery appears, it has challenges and risks. As a neurosurgical procedure, it carries risks of infection, hemorrhage, and potential neurological deficits.
Technical challenges include:
- Backflow (Reflux): The infused drug can flow backward along the catheter instead of into the brain tissue, reducing effectiveness.
- Uneven Distribution: Brain tissue is not uniform, and variations can disrupt the predicted flow of the drug.
- Catheter Placement Accuracy: Precise placement is essential for efficacy and requires advanced imaging and skill.
- Potential Neurotoxicity: High local drug concentrations can cause inflammation, swelling (edema), or damage to nearby healthy neurons.
- High Interstitial Pressure: Pressure within tumors can impede drug flow and contribute to backflow.
Each of these challenges has driven innovation, leading to better catheter designs, real-time monitoring, and improved patient selection to improve the safety and effectiveness of CED.
The Future of CED: Innovations and Research Horizons
The journey of convection improved delivery is far from over. The fundamental promise of bypassing the blood-brain barrier continues to drive innovation to refine the technique, overcome limitations, and expand its applications.

Recent Technological Advancements
Key innovations are overcoming previous limitations:
- Image-Guided Techniques: Real-time MRI allows surgeons to visualize drug distribution during infusion, enabling on-the-spot adjustments to improve accuracy and prevent backflow.
- Advanced Catheter Designs: New catheters with features like stepped profiles and porous tips are specifically engineered to reduce reflux and ensure more uniform drug delivery.
- Nanoparticle Drug Carriers: Microscopic carriers can encapsulate drugs for controlled, sustained release. These “smart” particles can be designed to move optimally through brain tissue, with labs like the Bankiewicz lab leading development.
- Chronic Infusion Pumps: Implantable, refillable pump systems allow for prolonged, outpatient infusions, improving patient comfort and enabling sustained treatment for chronic conditions.
Potential Future Directions
These advancements are paving the way for new therapeutic strategies:
- Combination Therapies: Pairing CED with immunotherapy or radiation could create powerful synergistic effects against brain tumors.
- Expanded Applications: Research is exploring CED for other neurodegenerative diseases like Alzheimer’s and Huntington’s, as well as for restorative therapies for stroke.
- Personalized Treatment: Advanced computer modeling based on a patient’s unique MRI scans could be used to optimize catheter placement and infusion parameters for each individual.
Ongoing research into how targeted drug delivery works and the different types of targeted drug delivery systems continues to drive the field forward, offering hope for many challenging neurological conditions.
Frequently Asked Questions about Convection Improved Delivery
When patients and families first learn about convection improved delivery, it’s natural to have many questions. Here are answers to some common ones.
Is CED a cure for brain cancer?
No, convection improved delivery is a delivery technique, not a cure in itself. It is a highly advanced method for getting therapeutic agents past the blood-brain barrier directly to a tumor. Its effectiveness depends on the drug being delivered. While CED has improved local tumor control in clinical trials and represents a significant advance, it is typically used as part of a comprehensive treatment plan that may include surgery, radiation, and other medications. It is still largely investigational for most applications.
Who is a candidate for CED treatment?
Candidacy is determined by a specialized medical team. Generally, candidates are patients with specific neurological conditions where conventional treatments are limited. This often includes patients with recurrent high-grade brain tumors (like glioblastoma) in difficult-to-treat locations. It is also being investigated for neurodegenerative diseases like Parkinson’s and treatment-resistant epilepsy. Most CED treatments are currently offered within clinical trials, which have specific eligibility criteria based on tumor type, location, patient health, and prior treatment history.
What are the main side effects of the CED procedure?
Potential side effects fall into two categories. First are surgical risks, which are similar to other brain procedures and include infection, bleeding, and swelling at the catheter site. Temporary or, rarely, permanent neurological changes can occur depending on the catheter’s location. Second are drug-related side effects. While CED minimizes systemic toxicity, the high local drug concentration can cause localized inflammation, swelling, or seizures. Medical teams monitor patients closely to manage any complications that arise. Many patients tolerate the procedure well, often with fewer side effects than systemic chemotherapy.
Conclusion
Convection improved delivery represents a paradigm shift in neurological treatment. By creating a direct route to the brain, it bypasses the formidable blood-brain barrier, allowing for high local concentrations of therapeutic agents with minimal systemic side effects. This technique offers new hope for patients with challenging conditions like glioblastoma, DIPG, and Parkinson’s disease.
The journey of CED has been one of continuous innovation. Challenges identified in early trials have spurred the development of advanced catheters, real-time MRI guidance, and chronic infusion systems, making the procedure safer and more effective. The future points toward combination therapies, personalized treatment planning, and expanded applications for a wider range of neurological disorders.
CED embodies hope backed by rigorous science. Ongoing research is crucial to opening up its full potential, refining delivery methods, and improving outcomes. As we continue to explore these innovations, our goal is to provide clear, accessible information to help patients and providers make informed decisions.